Un hombre de 52 años de Florida, Estados Unidos, comenzó a sufrir de intensos dolores de cabeza durante cuatro meses. Ante la preocupación que le generaba su estado de salud, decidió acudir a un médico para averiguar lo que le estaba sucediendo.
Así fue cómo, tras una serie de análisis, detectaron que tenía larvas de un parásito en el cerebro. Sin embargo, lo más insólito fue cuando descubrieron la razón por la cual se había contagiado: el paciente comía panceta cruda.
Según publicó un informe del American Journal of Case Reports, el hombre -cuya identidad no fue revelada- comenzó a sufrir de migrañas después de empezar a consumir el alimento con poca cocción. De esta manera, con el tiempo, desarrolló neurocisticercosis, una infección en donde un parásito deposita huevos en varias partes del cuerpo, particularmente en el cerebro.
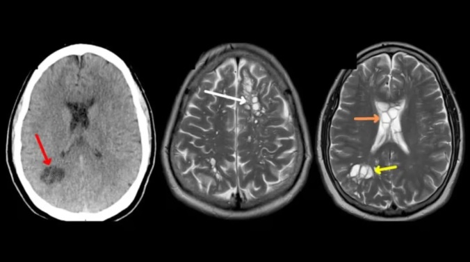
Ante la consulta del paciente, su médico de cabecera lo sometió a una tomografía en donde se logró visualizar una gran cantidad de quistes en la cabeza.
La sospecha llegó cuando intentaron profundizar sobre el origen de la afección, ya que la neurocisticercosis es común entre las personas que viven en países con malas condiciones sanitarias o están en constantes contacto con cerdos, el animal de donde se contagia el parásito. Sin embargo, el hombre no cumplía con ninguno de estos factores de riesgo.
Finalmente, durante las consultas, el paciente confesó que, desde siempre, tuvo una forma particular de comer la panceta: “Lo hago poco cocido y no crujiente”, expresó. Por esta razón, los especialistas concluyeron que había contraído la infección en el cerebro a partir de una tenia intestinal.
“Sólo se puede especular, pero dada la predilección de nuestro paciente por la carne de cerdo poco cocinada y su historial de exposición benigna, somos partidarios de que su cisticercosis se transmitió por autoinfección tras un lavado de manos inadecuado, después de que él mismo hubiera contraído la teniasis por sus hábitos alimentarios”, explicó el informe.



